Leistungen
Das Leitmotiv unserer gemeinsamen Praxistätigkeiten besteht darin, unseren Patientinnen und Patienten eine individuell angepasste und nachhaltige Behandlung in optimaler Qualität anzubieten.
Fallbeispiele
























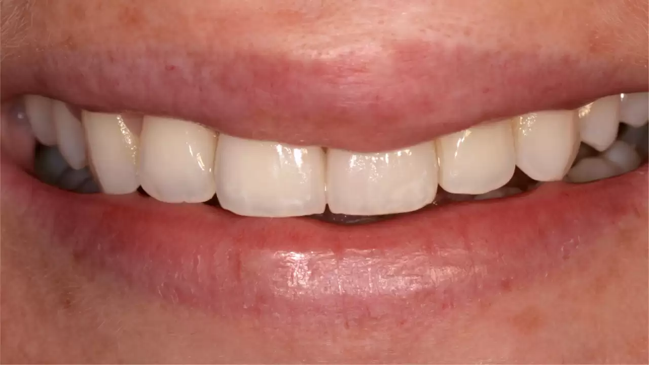
Ästhetische und kosmetische Zahnmedizin
Weisse und symmetrische Zähne strahlen Gesundheit und Attraktivität aus. Gerne hören wir uns Ihre Wünsche und Anliegen an. Wir empfehlen Ihnen, dass wir vor Behandlungsbeginn das Endresultat realitätsnah direkt in Ihrem Mund simulieren (sog. Mock-up). So können Sie sich noch vor Behandlungsbeginn ein Bild machen, ohne dass wir an Ihren Zähnen etwas verändern müssen.
In der ästhetischen Zahnmedizin ist es heute dank modernster Materialien möglich, die gesunden Zahnstrukturen zu schonen. Dazu verwenden wir die neuesten Technologien und arbeiten mit Zahntechnikerinnen und Zahntechniker zusammen, die zu den Spezialistinnen und Spezialisten ihres Faches gehören.
Wir sind ausgewiesene Expertin und Experten für ästhetische Zahnmedizin und korrigieren Zahnverfärbungen, asymmetrische Zahnformen und Fehlstellungen der Zähne. Das Erscheinungsbild der Zähne kann durch Bleaching, Bondings und Veneers verbessert werden. Bei Patientinnen und Patienten, die beim Lachen das Zahnfleisch zeigen, können wir durch Zahnfleischkorrekturen das Lachen positiv verändern.
Gerne zeigen wir Ihnen in unserer Praxis Fotos der einzelnen Behandlungsoptionen.
Rekonstruktive Zahnmedizin und Implantologie
Für die Wiederherstellung der Kaufunktion und Ästhetik stehen uns verschiedene Rekonstruktionsformen und Materialien zur Verfügung. Gerne zeigen wir Ihnen die verschiedenen Möglichkeiten wie Veneers, Kronen, Brücken, Implantate oder Prothesen und finden gemeinsam die passende Lösung für Sie.
Gesamtsanierungen des Gebisses mit unterschiedlichen Rekonstruktionsformen und Implantaten gelten als komplexe Behandlungen. Wir sind als Fachzahnärztin und Fachzahnärzte entsprechend ausgebildet und können dank unserer langjährigen Erfahrung solche Behandlungen zielgerichtet und effizient durchführen. Insbesondere haben wir eine grosse Expertise bei der Behandlung von Jugendlichen, bei denen Zähne aufgrund von Geburtsgebrechen fehlen oder nicht regulär ausgebildet sind.
Die Voraussetzungen für die Langlebigkeit der Rekonstruktionen sind ein gesundes Zahnfleisch und ein intakter Kieferknochen. Deshalb ist die tägliche Pflege Ihrer Rekonstruktionen sehr wichtig. Eine regelmässige Dentalhygiene und zahnärztliche Kontrollen für die Nachsorge der Rekonstruktionen helfen Zahnfleisch und Knochen gesund zu halten.
Aufbau von Knochen und Weichgewebe
Ein gesundes Zahnfleisch und ein intakter Kieferknochen bilden das Fundament für Zähne und Implantate. Entzündungen, Unfälle oder falsche Zahnputzgewohnheiten können diese Gewebe schädigen. Oft ist es ein irreversibler Schaden und nur dank mikrochirurgischer Techniken und unterschiedlicher Materialien kann ein solcher Gewebeverlust bei Bedarf rekonstruiert werden.
Der komplette Verlust eines Zahnes führt immer auch zu einem Verlust an Kieferknochen und Zahnfleisch. Deshalb kann es sinnvoll sein, gleich nach der Entfernung des Zahnes diese Gewebe mit Ersatzmaterialien für Knochen- und Weichgewebe zu erhalten. So können später aufwändige Therapien zur Rekonstruktion von Kieferknochen und Zahnfleisch vermieden werden.
Beim Ersatz eines fehlenden Zahnes mit einem Implantat muss gegebenenfalls fehlender Kieferknochen aufgebaut werden. Dies kann vor dem Implantieren oder gleichzeitig beim Implantieren passieren. Bei einem Frontzahn ist zusätzlich häufig noch ein Zahnfleischtransplantat aus dem Gaumen nötig.
Wir verwenden bei unseren Eingriffen nur Ersatzprodukte, für die langjährige wissenschaftliche Daten vorhanden sind. Weiterführende Informationen finden Sie hier: www.geistlich-pharma.com
Vollkeramische Zahnversorgungen
Zähne und Implantate können erfolgreich mit weissen, metallfreien Materalien rekonstruiert werden. Glaskeramik und Zirkonoxid sind die in der Zahnmedizin am häufigsten angewendeten keramischen Materialien.
Die Herstellung vollkeramischer Rekonstruktionen liegt in der Hand unserer erfahrenen Zahntechniker. Damit können wir die Zahnpräparationen so schonend wie möglich gestalten, können für jede Situation die geeignetste Keramik auswählen und garantieren die höchste Fertigungsqualität bei maximaler Ästhetik. Aufgrund dieser Qualitätsansprüche bieten wir keine Keramik-Rekonstruktionen an, die in der gleichen Sitzung hergestellt und eingesetzt werden.
Für die Abformung der Zähne und Implantate verwenden wir in den meisten Fällen unseren hoch-präzisen Mund-Scanner. Damit ermöglichen wir Ihnen eine angenehmere Behandlung und können auf Wunsch die Behandlungen am Monitor ganz genau erklären.
Wurzelkanalbehandlung und Revision einer bestehenden Wurzelkanalbehandlung (Endodontologie)
Die moderne Wurzelkanalbehandlung, auch als Endodontie bezeichnet, ist ein Teilbereich der Zahnmedizin, der sich mit der Behandlung von erkranktem oder infiziertem Zahninnenleben (Pulpa) beschäftigt.
Die moderne Wurzelkanalbehandlung hat in den letzten Jahren eine Menge Fortschritte gemacht, was zu einer verbesserten Prognose und einer höheren Erfolgsrate der Behandlungen führte. Die Techniken und Materialien, die heute verwendet werden, sind präziser und effektiver als früher. Zum Beispiel werden heute häufig digitale Technologien eingesetzt, um eine genauere Diagnostik und Planung der Behandlung zu ermöglichen.
Die moderne Wurzelkanalbehandlung beginnt mit einer gründlichen Diagnostik und wird unter dem Mikroskop durchgeführt. Die Wurzelkanalbehandlung dient dazu, eine infizierte Zahnwurzel zu reinigen und zu desinfizieren, um den Zahn vor dem Verlust zu retten. In manchen Fällen kann es auch notwendig sein, eine bestehende Wurzelkanalbehandlung zu verbessern, wenn beispielsweise noch Bakterien im Kanal verblieben sind oder eine neue Infektion aufgetreten ist.
Insgesamt ist die moderne Wurzelkanalbehandlung eine effektive Methode, um erkrankte oder infizierte Zähne zu retten und weitere Komplikationen zu vermeiden. In vielen Fällen wird nach der Behandlung eine Krone oder eine andere Form eines rekonstruktiven Zahnersatzes benötigt, um den behandelten Zahn zu schützen und langfristig zu erhalten.